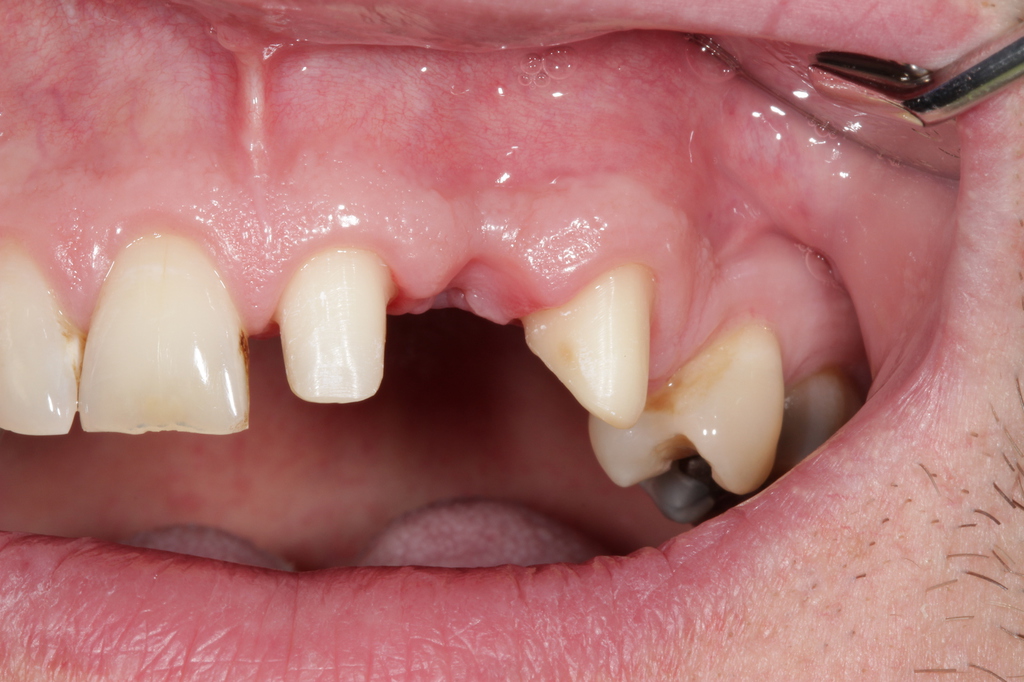
Devitaler Zahn vor Präparation

Ausganssituation: devitaler Zahn, abgebrochen 

Präparation

Nach der Präparation

Zirkonkrone 21

Kroneneinprobe vor dem Zementieren

Hier finden Sie uns:

Mundwerk Zahntechnik

Silke Schmidt
Dr.-Heinrich-Jasper-Strasse 59

38304 Wolfenbüttel

Tel: 05331.8555280

Fax:05331.8555281

 

Öffnungszeiten

Mo.+Di.+Do. von 8.00 - 18.00   Mi.+Fr. von 8.00-15.00 Uhr

 und nach Vereinbarung

Druckversion | Sitemap
© Mundwerk Zahntechnik